Meaning:
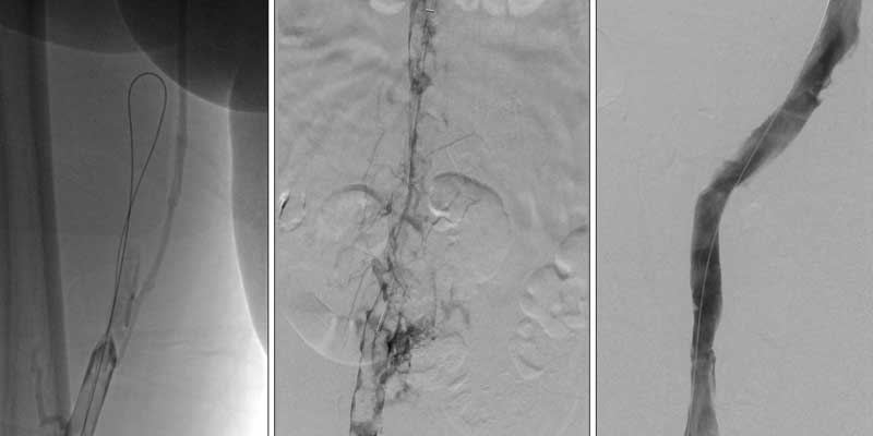
IVC (Inferior Vena Cava) Filter Placement and Pulmonary Artery Mechanical Thrombectomy are minimally invasive procedures used to prevent and treat serious blood clot–related conditions. An IVC filter is placed in the main vein returning blood from the lower body to prevent clots from reaching the lungs, while mechanical thrombectomy involves removing clots directly from the pulmonary arteries to restore blood flow.
Causes:
These procedures are required in patients with deep vein thrombosis (DVT), pulmonary embolism (PE), or those at high risk of clot migration. Risk factors include prolonged immobility, recent surgery, cancer, clotting disorders, trauma, pregnancy, and inability to take blood-thinning medications.
Treatments:
IVC filter placement involves deploying a filter through a catheter to trap clots before they reach the lungs. Pulmonary artery mechanical thrombectomy uses specialized devices to physically remove clots from the lung arteries, improving oxygenation, reducing strain on the heart, and stabilizing critically ill patients.
Prevention:
Early diagnosis and treatment of deep vein thrombosis, timely use of anticoagulants when appropriate, mobilization after surgery, and use of compression therapy help reduce the risk of thromboembolic events. In high-risk patients, preventive interventions play a vital role in avoiding life-threatening complications.
Frequently Asked Questions
What is an IVC filter?
An IVC filter is a small device placed in a large vein to prevent blood clots from traveling to the lungs and causing pulmonary embolism.
Why is pulmonary artery mechanical thrombectomy performed?
It is performed to remove large or life-threatening clots from the pulmonary arteries when medications alone are insufficient or contraindicated.
When are these procedures recommended?
These procedures are recommended in patients with high-risk pulmonary embolism, large clot burden, or when blood thinners cannot be safely used.
Are IVC filter placement and thrombectomy safe?
When performed in experienced centers, both procedures are considered safe and effective, offering rapid symptom relief and reduced risk of serious complications.